医療法人エアビーイング竹田歯科医院

最先端のセラミック治療

低料金・短期間で白くてキレイなセラミック歯をお届けできる、最先端のセラミック治療「最新CEREC (セレック) システム」を導入しています。

最新CEREC (セレック) システム

3Dカメラで口腔内を撮影 (動画も可能)、コンピューターで設計し、その設計データをもとに院内で加工します。精巧な作りで、長持ちし、虫歯にもなりにくい、利点の多い治療法です。

当院長の竹田はISCD公認セレックインストラクターです。
セレックに興味のある方はお気軽にご相談下さい。

セレックの特長

こんなご要望に最適の治療です

早く治療して欲しい (審美的な修復が一回の通院で行えます)

金属アレルギーが心配 (身体にやさしいセラミックを使用)

白い歯 (自然な感じ) にしたい

長持ちさせたい

治療費をあまり掛けたくない

セラミックの種類

セラミッククラウン

セラミッククラウンには、大きく分けて「オールセラミックス」と「セラミック焼付金属冠」の2種類があります。オールセラミックスは、セラミック (陶材) 製の単体のかぶせもののことです。これは、ご自身の歯を約1~1.5mmほど削り、その上にセラミッククラウンをかぶせることで、歯並びやかみ合わせだけでなく、見た目も美しく変えます。つまり、短期間で美しい口元に変えたいという方に適した治療法と言えます。

使用するセラミックは、天然歯と同じくらいか、それ以上の強度がある陶材なので、金属アレルギーの心配がありません。また、変色がなく、透明感があります。
セラミック焼付金属冠は、その裏打ちに金属を用いて強度を高めているかぶせもののことです。これは、主にブリッジや、強度が必要な場合に用います。歯並びや歯の形、色にコンプレックスを感じている方にとって、非常に有効な治療法です。


セラミックインレー

セラミックインレーとは、セラミック (陶材) 製の詰め物のことです。虫歯治療後などの金属の詰め物が気になる方や、虫歯治療をした部分を埋める場合に用います。


ハイブリッドセラミッククラウン

ハイブリッドセラミッククラウンとは、プラスチックと陶材を混ぜて作ったかぶせもののことです。セラミッククラウンほど透明感はなく、変色もありますが、硬度は自然歯に近いため歯に優しいです。


ハイブリッドセラミックインレー

ハイブリッドセラミックインレーとは、プラスチックと陶材を混ぜて作った詰め物のことです。

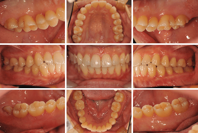
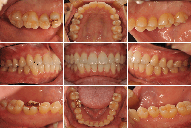
セレック治療の症例

30代 女性

セレックによる審美修復

BEFORE

セレックによる審美修復 BEFORE

AFTER

セレックによる審美修復 AFTER

セレックによる審美修復

セレックによる審美修復

セレックによる審美修復

セレックによる審美修復

ホワイトニング

ここ数年間で、ホワイトニングへの関心が急速に高まってきました。 メイクやスキンケアなどの美容の一環として、肌だけでなく、歯の美しさも気にする人が増えたためです。ホワイトニングは、エステや美容院へ通うような感覚になりつつあるようです。学生さんや社会人を中心に、男性女性問わず関心が高まっている歯科治療のひとつです。

ホワイトニング
ホームホワイトニング (ホームブリーチング)

歯科医院で患者様専用のマウストレーを作り、自宅で行うホームホワイトニングは、歯を削ることなく無痛的に、変色歯を輝く白い歯に変える方法のことです。


オフィスホワイトニング (オフィスブリーチング)

全行程を歯科医院で行うオフィスホワイトニングは、薬の効果を早く引き出すために、媒体となる光を当てるのが特徴です。歯の表面をクリーニングし、薬剤をつけてLED、レーザー、プラズマ等の光を照射します。


ホワイトニングの効果には個人差があります。しかし、処置前よりは白く輝く歯になります。カフェインやタバコなど着色の原因になるものを日常的に摂取している場合は、再度ホワイトニングが必要になるので日常生活で気をつけることが大切です。

SERVICE

竹田歯科医院では、
以下の歯科治療を行っております