
-
CGF再生療法 (次世代PRP再生療法)
患者様自身の血液内から濃縮された止血成分を取り出して使用することで、インプラント治療や歯周治療でキズの治りを早くしたり、骨や歯周組織の再生・回復を早める再生療法です。
CGF治療についてもっと詳しく
| 診療時間 | 月 | 火 | 水 | 木 | 金 | 土 | 日祝 |
|---|---|---|---|---|---|---|---|
| 9:00 ~ 13:00 | ● | ● | ● | ● | ● | ● | — |
| 14:30 ~ 18:30 | ● | ● | ● | — | ● | ▲ | — |

患者様自身の血液内から濃縮された止血成分を取り出して使用することで、インプラント治療や歯周治療でキズの治りを早くしたり、骨や歯周組織の再生・回復を早める再生療法です。
CGF治療についてもっと詳しく人は永久歯を失うと残念ながら二度と生え変わってきません。そのため今までは「入れ歯」などを用いるしかその部分を補う方法はありませんでした。
しかし「入れ歯」だと固いものがうまく噛めない、発音がおかしい、また長く使っている間に合わなくなってガタついてきたりする場合があります。このように歯を失ってお悩みの方に新しい治療法「インプラント治療」をご紹介いたします。
失われた歯根の部分にチタン製の歯根を埋め込んで義歯の支えとするのが、今日行なわれているインプラント (人工歯根) 療法です。この治療法では、残っている健康な歯への負担が増加することはありません。あごの骨には自然の歯と同じように刺激が伝わり、力をかけることができることから、骨の変形も少なくなることが知られています。
失われた歯の数、インプラントを埋め込む骨の硬さ、大きさ、位置により、治療法にはさまざまな選択肢があります。歯にかかる力の方向や強さはもちろん、患者さんに無理のない衛生管理などを含め総合的に検討した上で、治療計画が立てられます。

あごの骨にインプラントを埋め込みます。一次手術後、3~6ヶ月間の治癒期間をおくことで、インプラントと骨が強い力で結合します (オッセオインテグレーション)。この期間、仮の歯を使用できる場合もあります。歯ぐきを開いて人工の歯を取り付ける準備をします。この状態で、歯ぐきが治るまで1~6週間おきます。

歯ぐきが治った時点で型を取り、人工の歯を作ります。形や色などは患者さんに合わせて作製し、インプラントに取り付けます。
インプラントで治療した部分に限らず、口の中を衛生的に保つ必要があります。ブラッシングの方法などについて適切な指導を受け、また半年に1回程度の定期検診を受けて、インプラントや人工の歯の状態、噛み合わせを確認します。
当院では、幅広いケースや症例に対応したインプラント治療法を導入しております。
「骨の量が足りないので難しいと言われた」「あごの骨を削りたくない」「手術が怖い」などの理由で治療を諦めていた方も、ぜひ一度当院にご相談ください。
あごの骨が痩せてしまって、インプラントが行えない…。上のあごの難症例などあらゆる症例に対応可能です。ドリルを殆ど使わないので骨を損なわず、歯ぐきも最低限しか切らずに済むため、処置後の経過が良く、負担を最小限に出来ます。

1直径0.5ミリの器具で骨に小さな穴を開けます

2その穴から更に極細の針状の器具で細い穴を開けます

3細い穴を少しずつ押し広げていきます。穴が広がっていくと同時に骨が押し広げられ、細い骨を密度の高い太い骨にすることができます。

4骨が補強され、インプラントを入れることができました。
O.A.M (大口式) インプラントは、簡単に1回の処置で骨を補強しながら増やす事ができ、理想的な位置に十分に太くて長いインプラントを入れることが可能です。
歯周病等で骨が失われた部位に人工骨や自家骨 (自分の骨) を移植し、骨の再生を図る治療のことで、歯周組織再生療法のひとつです。GBRは主に「インプラントしたいけれど骨の量が足りない」場合に行います。


臼歯部にインプラントを打とうとした際に上顎洞までの距離が短く、そのままではインプラントが打てない場合に行われる手術です。ソケットリフトでは、上顎洞底粘膜を挙上し、挙上して出来たスペースに骨移植などを行い、3~6ヶ月ほど待ちます。

ソケットリフトが成功すると上顎洞までの間に十分な量の骨が新たに造られるので、インプラントを打つことが出来るようになります。また、ソケットリフトでは新しく造られる骨の量に限界があるので、骨の量が極端に少ない場合には、ソケットリフトではなくサイナスリフトという手術を行います。

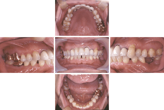
BEFORE

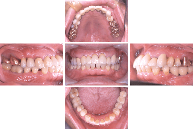
AFTER

1

2

3

4
