当院の歯周治療の特長
当院の歯周治療は、日本歯周病学会認定 歯周病専門医と
日本臨床歯周病学会の認定資格を取得した歯科衛生士が担当いたします。
最先端の歯周治療を導入しています
歯周病について
ほとんどの大人がかかっている歯周病
35歳~44歳の人ではおよそ85%、45歳~54歳では約90%の人が、歯周病にかかっています。つまり、ほとんどの大人が程度の差はあっても、歯周病にかかっているといっても過言ではありません。
歯周病は歯を失う大きな原因のひとつです
歯を失う原因は虫歯同様、歯周病も大きな原因になっています。特に40歳あたりからは、歯周病の比率が高くなっています。
歯周病は歯を支える周りの組織に起こる病気です
歯周病とは、歯の周りの歯ぐき (歯肉) や、歯を支える骨などが破壊される病気で、かつては歯槽膿漏と呼ばれていました。歯と歯ぐきの境目 (歯周ポケット) に細菌が入り、歯肉が炎症を起こし赤く腫れて、ブラッシング時に出血します。しかし、痛みは全くありません。
さらに進行すると、歯肉の中にある歯を支えている骨 (歯槽骨) が溶けて、膿が出たり歯がグラグラしてきます。この時期になると、やっと痛みや腫れをともないます。そして、最後には歯が抜けてしまいます。
動脈硬化や糖尿病…全身疾患とも関連
歯周病は、歯の喪失、口臭などの原因となるだけでなく、動脈硬化、心筋梗塞、脳梗塞、糖尿病、骨粗鬆症、皮膚炎など、全身疾患の危険因子となる可能性もある病気です。
歯周病の進行状態
歯周病にならないためには
現在では歯周病は、予防でき治療も可能です。大切なのは予防、診断、治療、そしてメインテナンスです。この15年の間に、歯周治療は急速な進歩を遂げました。以前は「不治の病」とさえ言われてきた歯周病も、現在では進行を阻止することが可能となり、健康をとりもどすことができるのです。
まず、歯周病の原因は歯垢 (プラーク) ですから、それを溜めない、増やさないことが基本です。そのためには、正しい方法で歯みがきを毎日実行することです。
歯の表面を歯垢のない清潔な状態にしておくことが何より大切なことです。歯肉の中まで入っている歯石を完全に取り除き、さらに根の表面を滑らかにして炎症を引き起こす細菌を徹底的に除去することです。傷んだ歯肉、骨を治療して健康に近い歯肉にすることです。健康の保持のため歯科衛生士による専門的なクリーニングなどのメインテナンスを定期的に受けることです。
プラークコントロールで歯周病予防
歯周病や虫歯の原因は、歯垢 (プラーク) です。このプラークは、丁寧なブラッシングによって、大部分取り除くことができます。つまり、適切なブラッシングをつづけることで、歯周病を予防することができるのです。それだけではありません。程度の軽い歯周病であれば、ブラッシングで治ってしまうことも可能です。
ねばねばした細菌の集まりがプラーク (歯垢) です。その細菌が少しずつ死滅して、それに唾液成分の無機質が沈着し、石灰化して歯石になります。
PMTC (プロによる歯のクリーニング)
PMTCとは Professional Mechanical Tooth Cleaningの略のことで、毎日のブラッシングだけでは取り除くことができない汚れを、歯科衛生士が特殊な機械を用いて行う歯のクリーニングのことです。プロによる歯の定期的なメンテナンスを受けることで、歯周病・口臭・むし歯の予防や審美的な効果はもちろん、「自分の歯への愛着がわいた」「以前より歯を大事にするようになった」というお声もいただきます。
当院のPMTCケアは、日本臨床歯周病学会の
認定資格を取得した歯科衛生士が担当いたします。

1ブラッシング状態、歯、歯肉のチェック。磨きにくいところをはっきりさせ、ブラッシングの指導なども行います。

2歯の表面、歯と歯の間、歯のつけ根の部分にクリーニング(研磨)ペーストを塗ります。

3ブラシで表裏の汚れを清掃・研磨します。三角形チップで歯間部を磨きます。

4やわらかいシリコンラバーのカップで歯の表裏、歯ぐきの間を研磨します。

5山形ブラシで汚れを落としにくい咬合面の溝をきれいにします。細かい部分まで全てきれいにします。

6消毒液を含んだ洗浄液でお口の中をきれいにして、歯肉ポケット内や歯を洗浄します。

7虫歯の予防になるフッ化物を塗り、より浸透させるため数分間うがいを避けます。

8一般的には3〜6ヶ月ごと、喫煙者や歯周病リスクの高い方は1~2ヶ月のペースで受けることをおすすめします。
PMTCの効果
歯質の強化
研磨用のフッ化物入りペーストにより再石灰化 (カルシウム等) を促進し、歯のエナメル質を強化します。
むし歯の予防
細菌性バイオフィルムを破壊し、プラークを除去し、再付着を防ぎ、虫歯を予防します。またエナメル質表面へのカルシウム補給を助けます。
歯周病、歯肉炎の改善・予防
歯面から歯肉縁上ならびに歯肉縁下1~3mmのプラークを除去することにより、歯肉の症状を改善します。また歯肉が引き締まってきますので、歯周病・歯肉炎の予防にもつながります。
審美性の向上
タバコのヤニや茶シブなどの沈着した色素を取り除き、光沢のある本来の歯面に回復します。また汚れを着きにくくします。
歯周治療の症例
比較的軽い歯周病であれば、歯や歯の周りを清潔に保つ治療を続けることで治すことができます。しかし、炎症が歯肉の奥まで進行し、歯周組織の破壊がひどい場合には、歯周組織を回復させるための手術 (歯周外科手術) が必要になります。この手術の際に、歯周組織再生誘導材料という手術治療を補助するための、歯科用の材料が使われることがあります。
エムドゲイン (歯槽骨の再生療法)
エムドゲインとは、スウェーデンの幼弱な豚の歯の芽から抽出したタンパク質です。歯が生えてくる時と同じ環境を作り出す事によって、再度、骨を歯の周囲に呼び込んで骨を再生させる作用があると言われています。(エムドゲインは厚生労働省承認の物質です)
当院でのエムドゲイン使用の歯周治療症例の一部を以下にご紹介します。
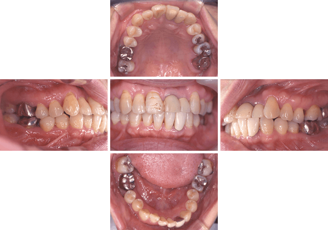
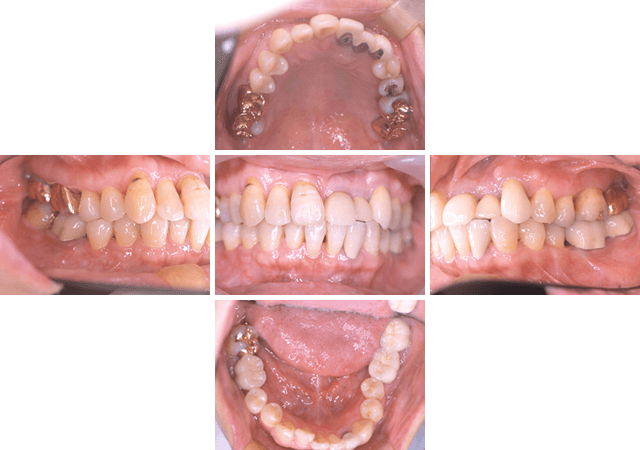
50代 女性
エムドゲインを使用した歯周治療
| 主な症状 | 全体的にしみ、歯茎が下がってきた。 |
| 口腔内の状況 | 全顎的に歯石が多量に沈着しており、腫脹や発赤もみられる。中等度から重度の歯周炎。 |
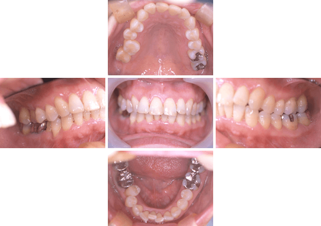
40代 女性
エムドゲインを使用した歯周治療
| 主な症状 | 歯が浮いた感じがする。 |
| 口腔内の状況 | 歯頸部にプラークが沈着しており、縁下歯石も全体的に沈着。臼歯部に発赤腫脹もみられる。中等度から重度の歯周炎。 |